研究室

研究室

【研究室】乾燥した組織の細胞観察

実験期間平成26年8月11日〜8月15日実験目的前回の実験で、乾燥により色素胞が変化し、青色に体色変化を行うということが分かった。変色の要因にホルモンが関与しているかを調べるため、今回の実験ではあらかじめ皮下組織を摘出た状態で乾燥させること...
研究室

【研究室】フナ以外の個体の観察

実験期間平成26年9月20日〜9月24日実験目的 今回の実験ではフナ以外の個体を用いても乾燥環境において体色変化をするのか調べていく。金魚はギンブナと比較して色素胞の配置が異なっており、異なるパターンを確認できる。実験個体キンギョOLYMP...
飼育室

【研究室】研究室における飼育環境

今回は研究室での飼育環境について解説していきます。実際に実験を行う上の供試魚の収容しています。長期間の健康状態を保つ為に特化された環境となっていますので、飼育をする上で得られることも多いですね。それではいきましょう。供試魚 以下の供試魚を購...
研究室

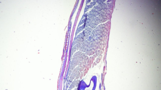
【研究室】皮膚組織の観察

実験期間平成26年5月22日から6月9日実験目的ギンブナは乾燥環境において体色が青色に変色する事が分かったが、皮下組織にはどのような影響を及ぼしているのか変色後の皮膚を摘出して組織標本にして観察した。今回使用した個体ギンブナ Crassiu...
研究室時代

【研究室】色素胞の観察

体色変化時の色素胞を観察実験期間平成26年7月2日〜7月8日実験目的前回の実験では、氷冷麻酔を用いる事で死亡せずに麻酔が解けるまで乾燥させて体色変化を確認できた。今回は体色変化より鱗の色素胞を観察して、どのような変化があるかを調べていく。実...
研究室

【研究室】組織標本の作り方

今回はフナの体色変化現象における皮下組織の構造の変化を観察するために行う「組織標本」の作り方について紹介していきます。この手法は実際に生理学研究室に存在した機材を使用して作成を行います。組織標本の作り方生物試料の切り出し組織の変質を防ぐため...
研究室

【青鮒伝説】水族館で見つけた青鮒の話

見つけた場所:箱根園水族館静岡県の箱根存在する箱根園水族館。現在は閉鎖されてしまいましたが。ここは以前は海水館と淡水館の二つの建物が存在しており、その中でも淡水館の方の水槽にフナが一時展示されておりました。過去の訪問記はこちら↓展示環境OL...
研究室

【研究室】研究前に行った実験

体色青くなる条件についての予備実験これは私が、大学の研究室に入室する前に実施したフナの体色変化に関する実験です。大学3年に病理の部室で個人的に実験していました。詳細的な内容は高校時代の研究内容とほとんど変わらないかと思います。実験内容日時:...
研究室

【研究室】麻酔薬を用いた実験

使用した麻酔薬に関する実験フナの体色変化について麻酔薬を用いて実証する。実際に使用して麻酔が掛かるまでの時間や解けるまでの時間を把握する。また、掛かった状態での体色変化に影響が表れるのか調べた。実験期間平成26年5月12日から5月19日実験...
研究室

【研究室】研究概要

ギンブナが乾燥環境における体色変化する現象に関する研究ギンブナ(Carassius auratus langsdorfii)は日本全域で生息しているフナ属魚類の1亜種である。ギンブナの体色はオリーブ色を基調として背側は褐色、腹側は銀白色をし...